Tin tức
Ngày 26-8, Đội Cảnh sát ĐTTP về ma túy - CAQ Tây Hồ, Hà Nội đã hoàn tất hồ sơ xử lý Phạm Thị Lan (SN 1991), quê quán Yên Bái, về hành vi tàng trữ trái phép chất ma túy.
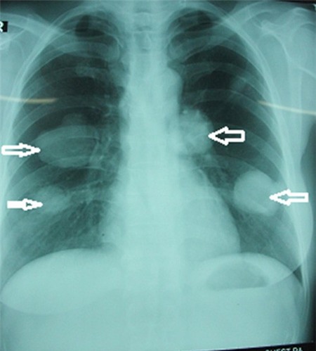
Lần đầu tiên VN phát hiện hai bệnh nhân bị sán chó. Hãi hùng hơn đây là những khối u lớn, hàng nghìn đầu sán ngoe nguẩy trong phổi người “chực chờ” vỡ.
Một bác sĩ người Liberia nhiễm loại virut chết người Ebola vừa tử vong, dù được điều trị bằng huyết thanh ZMapp, loại thuốc điều trị Ebola thử nghiệm của Mỹ.
Bé trai sơ sinh có 4 chân, 4 tay và một bộ phận giống như phần đầu thứ hai khiến mọi người trông thấy đều xót xa.

